Dental Pods - Dental Implants and Dental Clinic in PeterboroughDental Pods - Dental Implants and Dental Clinic in PeterboroughDental Pods - Dental Implants and Dental Clinic in Peterborough
  • Home
  • About Us
  • Our Team
  • Treatments
  • Portfolio
  • Blog
  • FAQs
  • Price List
  • Contact Us
  • Home
  • About Us
  • Our Team
  • Treatments
  • Portfolio
  • Blog
  • FAQs
  • Price List
  • Contact Us

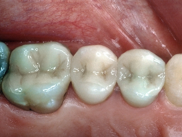
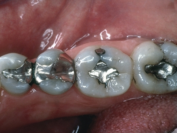
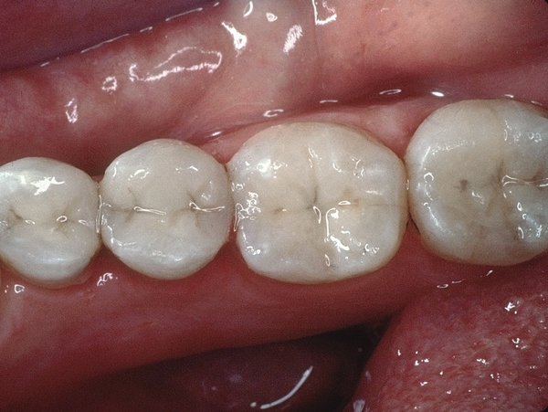
Porcelain Fillings

  1. Home
  2. Porcelain Fillings

Useful links

  • Dental Treatments FAQs
  • About Us
  • Our Team

Terms

  • Privacy Policy
  • Data Protection
  • Complaints Procedure

Contact

+44 7938 243320

01733 685560

[email protected]

Developed by: Tronic Web Agency


Fale Conosco